
language日本語 通訳対応
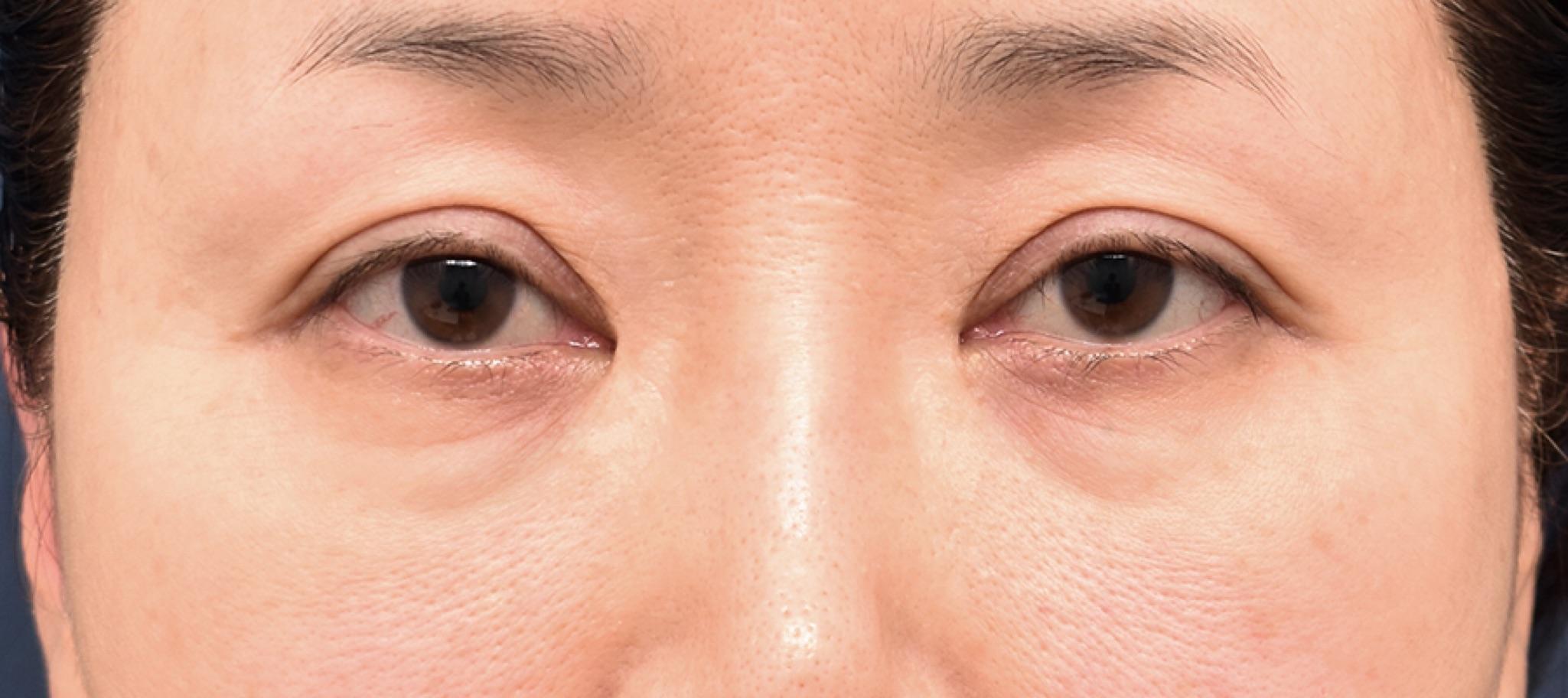
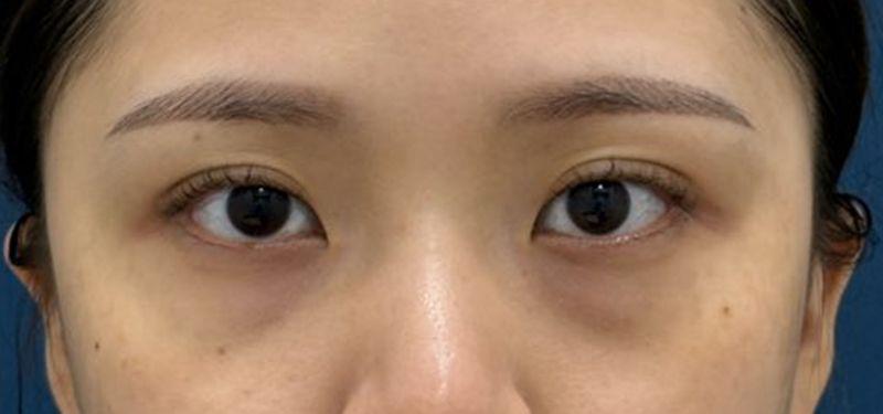
オブジェ目の下脂肪再配置
kid_star4.967件の口コミ
28% off¥168,798
¥120,570
現地通貨を基準: ₩1,100,000 (VAT込み)
kid_star
目の形矯正の口コミ413件!
詳細内容
目の下の凹み、クマなどを改善する手術
こんな方におすすめ
目の下の凹み、クマなどを改善する手術
イベント期間
2025-08-11 ~ イベント終了まで
副作用の案内
手術/施術後に一般的に発生する出血、感染、炎症などの副作用は 個人によって差がある場合がありますのでご注意ください。
このページの情報は、クリニックが直接登録・運営しています。
口コミ
kid_star4.9(67)
- kid_starkid_starkid_starkid_starkid_starverified_user実際の施術口コミ로맨띡2026.01.22後
前
昨年4月に体調を崩すこともあったし、年齢も51歳になってくると、顔の目の下がハリ不足で目の下が膨らんでティアトラフが出てきて垂れ下がるのが目に見えて気になり始めて、自信も落ちて...それで「デュアル下瞼」を進めました。 これ以上はダメだと思って、ずっと悩んでいる中で決心して手術をしようと決めた後、知り合いの方に病院2ヶ所を紹介してもらって、私もたくさん検索してリサーチした結果、「オブジェ美容外科」で目の下脂肪再配置やデュアル下瞼をされた方々の結果レビューも良くて、多くの方が推薦してくださるとのことでした。 それで紹介された2ヶ所は調べずに、私が決めたオブジェ美容外科でカウンセリングを受けました。 まずキム・ヒョンジョ先生が誠意を持ってカウンセリングしてくださることに信頼が持てました。 絶対にあちこち追加しろ〜ここを追加すれば綺麗になる〜と、不要な手術を推薦せず、ちょうど希望する部分に焦点を当ててカウンセリングしてくださり、純粋に本人の決定を尊重してくださったので、私はデュアル下瞼で手術日を2025年12月8日に決めました。 病院に到着すると多くの方がウェイティングしていましたが、清潔で広いので窮屈でなく自分の順番を待つことができました。 カウンセリングされる方々も親切で、カウンセリングを待つ時もカウンセリング中も、気軽に気になることを遠慮なく質問に答えてくださいました。 手術当日に5階に到着して手術着に着替えた後、写真撮影をして手術同意書を確認してサインしました。 もう一度キム・ヒョンジョ先生とお会いして目の下のスケッチを受けて、よろしくお願いしますとお伝えしました。 手術室の雰囲気はあまり静寂すぎずラジオをかけてあったので、全体的に普段の今日のように楽に手術を受けることができました。 私は体がよく浮腫む体質なので腫れが少し長引きました。 手術後2日目からは腫れが最高潮! 1週間からは徐々に腫れが引き始め、右側より左側がもっと腫れて内出血ももっとひどく、左頬と左唇の方に感覚鈍化もありました。 手術翌日に消毒と腫れ管理で病院を訪問したのですが、公共交通機関に乗って行くのに腫れのせいでとても大変でした。 1週間目になる日に抜糸と腫れ管理で病院を訪問して、キム・ヒョンジョ先生に現在の左右非対称な腫れと感覚鈍化部分についてお聞きしたところ、徐々に良くなるとのことで、それほど心配しませんでした。 しかし今1ヶ月と11日経ちましたが、腫れも感覚鈍化した部分もほぼ正常に戻りました。ただし涙袋の方の腫れはまだ残っているとお聞きしたところ、時間が経つほど良くなるとおっしゃったので、時間が解決してくれるので、あまり心配しなくても良さそうです。 個人的に悩まずにオブジェに決めたのは良かったと思います。 そしてキム・ヒョンジョ先生が信頼できたので、流れる時間の中で結果が見え始めると、デュアル下瞼の決定を良くしたと思います。 もう少し自信を持って日々を過ごせそうです。 - kid_starkid_starkid_starkid_starkid_star로맨띡2026.01.22後
前
昨年4月にある問題もあったし、年齢も51歳になってくると、顔の目の下がハリ不足で目の下が膨らんで涙袋が出てきて垂れ下がるのが目に見えて気になり始めて、自信も落ちて...それで「デュアル下瞼」を進めました。 これ以上だめだと思って、ずっと悩んでいる中で決心して手術をしようと決定した後、知り合いの方に病院2ヶ所を推薦してもらい、私もたくさん検索とリサーチした結果、「オブジェ美容外科」で目の下脂肪再配置やデュアル下瞼をされた方々の結果レビューも良くて、多くの方が推薦してくださるとのことでした。 それで紹介してもらった2ヶ所は調べずに、私が決めたオブジェ美容外科にカウンセリングを受けました。 まずキム・ヒョンジョ先生が誠意を持ってカウンセリングしてくださることに信頼が持てました。 絶対にあちこち追加しろ〜ここを追加すれば綺麗になる〜と不必要な手術を推薦せず、ちょうど希望する部分に焦点を当ててカウンセリングしてくださり、ひたすら本人の決定を尊重してくださったので、私はデュアル下瞼で手術日を2025.12.8日に決めました。 病院に到着すると多くの方がウェイティングしていて、きれいで広いので息苦しくなく私の順番を待つことができました。 カウンセリングされる方々も親切で、カウンセリングを待つ時もカウンセリングする時も、気楽に気になることを躊躇せずに質問に答えてくださいました。 3. 手術当日の進行過程または特記事項 手術当日に5階に到着して手術着に着替えた後、写真撮影をして手術同意書を確認してサインしました。 もう一度キム・ヒョンジョ先生とお会いして目の下のスケッチを受けて、よろしくお願いしますとお話ししました。 手術室の雰囲気はあまり静寂すぎずラジオをつけてあったので、大体普通の今日のように気楽に手術を受けることができました。 私は体がよく浮腫む体質なので腫れが少し長引きました。 手術後2日目からは腫れが最高潮! 1週間からは徐々に腫れが引き始め、右側より左側がもっと腫れて内出血ももっとひどく、左頬と左唇の方に感覚鈍化もありました。 手術翌日消毒と腫れ管理で病院を訪問したのですが、大衆交通に乗って行くのに腫れのせいでとても大変でした。 1週間目になる日に抜糸と腫れ管理で病院を訪問して、キム・ヒョンジョ先生に現在の左右非対称の腫れと感覚鈍化部分について尋ねたところ、徐々に良くなるとのことで、それほど心配しませんでした。 しかし今1ヶ月と11日経ったのですが、腫れも感覚鈍化した部分もほぼ正常に戻りました。涙袋溝がまだあるので尋ねたところ、腫れが引けばなくなるとのことなので、時間が解決してくれると思って、あまり心配しなくても良さそうです。 個人的に悩まずにオブジェに決めたのは良かったと思います。 そしてキム・ヒョンジョ先生が信頼できたので、流れる時間に結果が見え始めると、デュアル下瞼の決定を良くしたと思います。 もう少し自信を持って日々を過ごせそうです。 - kid_starkid_starkid_starkid_starkid_starverified_user実際の施術口コミ갱쥐KSd6E2025.12.02後
前
オブジェ美容外科で目の下の脂肪再配置+脂肪移植をして1ヶ月経ったレビューです! 病院は全体的に清潔で快適で、第一印象からとても良かったです。スタッフの方々も皆さん親切で、緊張も少し和らいで入れました(笑) 他の美容外科でカウンセリングを受けた時は、考えてもいなかった追加施術をたくさん勧められて少し戸惑ったんですが…^^; オブジェでは本当に必要な部分だけをピンポイントで説明してくださって、心がずっと楽になりました。 カウンセリングもパク・シヒョン院長が直接丁寧にしてくださって信頼できましたし、手術当日も問題なくスムーズに進みました。 そして一番心配していたのが痛みだったんですが、 手術自体は痛みがほとんど全くありませんでした…!手術後は少し引っ張られる感じはあります。 内出血は私の場合7日くらい続いて、腫れは初期は少しありました。大きな腫れは2週間くらい、その後は残りの腫れが長く続く感じ?今もごく微細に残ってはいますが、流れ的に自然に引いています! 全体的にとても満足しています👍🏻😊 - kid_starkid_starkid_starkid_starkid_starverified_user実際の施術口コミ뀨뀨123412025.10.23後
前
最近メイクをしても疲れて見える、痩せて見えるとよく言われるようになってストレスを感じていた時に、目の下脂肪再配置を知りました。 目の下脂肪再配置が上手なところを探していたら、オブジェ美容外科のチャン・ウク院長が有名だったので、カウンセリング後に手術を進めました。気になることがたくさんあったのですが、親切に説明してくださり、手術後も改善が難しい部分も教えてくださったので、むしろより信頼できました。 手術もきれいに終わったし、脂肪移植の採取部位も長さが短くて良かったです。傷が残るか心配していたのですが、蚊に刺された程度でした! 周りの人たちも手術してずっと生き生きして見えると言ってくれるので、手術して良かったと思います!😊 - kid_starkid_starkid_starkid_starkid_starverified_user実際の施術口コミ메리두두2025.10.01後
前
7年ほど前から目の下が腫れて見えるような感じを受けて、インターネットで検索し始めました。結膜を切開して手術するというのが怖くて、時間が経てば良くなるだろう、一時的に疲れているからそうなんだろうと思って放置していました。 ところが去年の夏頃から写真を撮ると特に目の下が気になって見えて、周りからずっと疲れているのかと言われました。 なんだかこのせいでより老けて見えるような気がしました。 もう時間が経てば目の下の脂肪除去ではなく下瞼の手術をしなければならないだろうと思って、早く手術する考えで一生懸命インターネット検索をしました。 いくつかの病院を検索しましたが、目の下の脂肪除去といえばオブジェ、目の下の脂肪除去手術の実力といえばチャン・ウク院長という話で、チャン・ウク院長にカウンセリング予約をしました。 やはり実力のある院長らしくカウンセリング予約だけで1ヶ月ほど待って受けましたが、手術予約は幸い空いている時間があって10日ほど後に受けることができました。 目の下の脂肪除去手術の経験が豊富な方らしく信頼が持てましたし、院長も目の下の脂肪除去手術を受けたことがある方なので患者の立場で手術してくださるだろうと思ってすぐに手術を決めました。 手術を受ける当日にとても緊張しましたが、心配したのが無駄になるほど手術が終わっていました。 手術時間1時間+回復時間1時間で案内を受けましたし、手術前にも院長が十分に親切に説明してくださいました。 そして案内された通りに処方された薬と冷湿布を一生懸命したところ、手術後4日目になる日から黄色いあざが上がってきて、腫れもかなりなくなりました。3週目になるととても微細に残った腫れもほとんどなくなりました。 今は鏡を見るたびに悩みの種がなくなってとても幸せです。目の下の脂肪除去で悩んでいる方々にオブジェ整形外科のチャン・ウク院長をお勧めします。本当にお上手です。 - kid_starkid_starkid_starkid_starkid_starverified_user実際の施術口コミ감122025.09.17後
前
私も「綺麗になりたい」という気持ちから興味を持つようになったのですが、カウンセリングから施術まで、キムヒョンジョ院長が本当に細やかに丁寧にしてくださって信頼できました。施術後は目の下がなめらかに整って、顔全体が一層明るく若々しく見える効果を感じました。特に目の下の脂肪を単純に除去するのではなく、位置を再配置してくれるので、印象が柔らかくなって自然で、人からは整形したという感じよりも健康的で生き生きとした顔に見えるようです。私は以前は化粧をしても目の下のシワやぷっくりした部分が隠れなくて悲しかったのですが、今は肌の表現もずっときれいになって自信が生まれました。何より施術が終わった後も腫れやダウンタイムが早くて負担が少なく、日常生活に大きな支障がなかったのも満足しています。正直こういう施術は後悔する人も多いと聞いて心配していたのですが、キムヒョンジョ院長の手にかかってからは「絶対後悔しない」という言葉がぴったりです。むしろなぜもっと早くやらなかったのかと思うほどです。周りに - kid_starkid_starkid_starkid_starkid_starverified_user実際の施術口コミ키욤포착2025.09.09後
前
鼻炎があって子供の頃からクマ持ちでした。疲れて見えるってよく言われて生きてきたので慣れてたんですが、最近顔の肉が落ちて私の目の下がツルハシで掘ったみたいにすごく窪んで、クマがもっと大きくなって濃くなりました(笑) そうなると疲れて見えるって言葉を超えて、やつれて見える、苦労してそうって言葉をすごくたくさん言われるようになって...久しぶりに会った弟が本当に真剣に目の下になんで青あざができてるのか、何があったのかって心配してる姿を見てショックを受けて手術を決心することになりました...(笑) 目の下脂肪注入で有名だっていう病院のカウンセリングは全部行ってみたんですが、質問をしても痒いところをスッキリ掻いてくれる答えをもらえなくて、いつも信頼できなかったんです。でもオブジェのパク・シヒョン院長とカウンセリングした後、ユーレカって叫びました。 私が質問を曖昧にしても、痒いところをスッキリ掻いてくれるように正確に答えてくれたし、目の下以外の他の悩み部位まで本当に親切に詳しくカウンセリングしてくれました。カウンセリングだけでも私この医師に任せても大丈夫だって確信がパッと湧いたのは本当に初めてでした。 手術は単一微細脂肪移植、目の下脂肪注入、脂肪再配置をしました。手術は睡眠麻酔で進行されました!手術がうまくいったって言ってくれたんですが、私もうまくいったって感じたのが、目の下脂肪注入のレビューをすごく探してみたんですが、その方たちと私の目の下脂肪注入手術後の状態が次元が違いました。院長が本当にきれいに手術してくれたんだな〜院長に受けて本当に本当によかったって思いました>< 1ヶ月経った今は本当に大・満・足中です。 バレないように綺麗になった感じ?周りの無関心な人たちも「何をしたかは分からないけど確実に顔がよくなった」って言ってくれるし、クマがひどいのを知ってる人たちは確実に薄くなったってみんな病院情報を持って行きます(笑) 以前は照明の下で写真を撮ると影がすごく映って嫌だったんですが、今は全然平気(笑)目の下がピンとして自信もピンと張ってもう...(笑) 残念な点があるとすれば!私の肌がとても薄くて血管が濃く透けて見えるタイプなので、単一脂肪移植1回だけでは100%カバーされませんでした。でもこれは手術前に十分説明してくれたし、今も2回目の移植をするかしないか悩み中ですが、これは1ヶ月経過を見てカウンセリングを受けてから決めようと思います。とりあえず化粧で隠れるってことに感激...(泣)悩む時間に手術する方がずっと得ですよ本当に。 - kid_starkid_starkid_starkid_starkid_starverified_user実際の施術口コミ냥이5rpLM2025.08.29後
前
老け顔と疲れて見える印象が悩みで、下瞼や目の下の脂肪について調べていたところ、母の友人が施術を受けた場所だということで訪問し、カウンセリングを受けて手術を受けました。目の下脂肪再配置でキムヒョンジョ院長に手術していただきました。手術後も大きな副作用はなく、腫れは1週間程度でほとんど引いて、周りの人で誰も気づく人がいないほどでした。現在1ヶ月が経過しましたが、ドライアイの症状が少しありますが、不便な程度ではなく、だんだん良くなるということなので待ってみるしかないですね。手術前よりもずっとすっきりして、自然な目になりました。印象も良くなったと思います。現在までとても満足していて、周りの方々にもおすすめしています。 - kid_starkid_starkid_starkid_starkid_starverified_user実際の施術口コミ루루미밍릴링2025.08.13目の下の脂肪除去をしてから8ヶ月経ちましたが、満足しています。腫れも早く引いて、とりあえず自撮りする時にストレスを感じることがなくなりました…若く見えます。
- kid_starkid_starkid_starkid_starkid_starverified_user実際の施術口コミ갱쥐rtgNw2025.08.05後
前
- 病院名:オブジェ美容外科 - 手術部位:目の下脂肪再配置 + 脂肪移植 悲しいことに年を取るにつれて疲れて見えるとよく言われるようになったある日、目の下の脂肪がぽっこりと飛び出しているのが見え始めました。あれ分かりますよね?知らなければそのまま過ぎ去っていたでしょうが、一度見え始めると続けて目につき気になるということ、皆さん共感していただけると思います。コンディションが良い日でも疲れて見えるという周りの方々の話を聞く理由がこれのせいなのかという思いが湧いてくると、自然と改善する方法を探すようになりました。 両親からもらった体で怪我をしたのでなければ自然状態のまま生きていた私だったので、施術や整形は気にしたこともなく調べたこともありませんでした。それでまずは手術よりも負担の少ない施術を調べて、目の下の改善のためにウルトラコル(コラーゲン注射)を生まれて初めて経験してみました。しかし簡単な施術である分効果が一週間を超えることができず挫折していた時…知人の推薦で目の下脂肪再配置を知ることになりました。 ぜひ目の下の改善を望んでいたので、どの病院が上手なのか、費用は適切なのか、副作用はないのか、アフターケアはどうすればいいのかなどなど…大学受験勉強より熱心に調べていたと思います。そうやって調べた情報を持って3つの病院を訪問して相談と見積もりを受け、最終決定はオブジェ美容外科を選択しました。 オブジェを選んだ理由は1)目の下脂肪再配置の経験が豊富な院長先生がいる点、2)前後の管理がしっかりしている点、3)費用が適切だった点で、その中で最も大きな理由は経験豊富な院長先生に手術を受けられるという点でした。やはり顔にする手術なので価格よりもどれだけ安全に望む結果を得られるかが重要でしたから。 担当院長先生との相談過程でどの部分に改善が必要なのかと個人の特性によって脂肪移植も一緒にすると良い理由まで詳しく説明を聞きました。(脂肪移植は個々人の状態によって違うでしょうが、私の場合は目の下のボリュームが不足している方だったので脂肪移植を一緒に進行する方がはるかに改善効果が良かったです。)院長先生との相談が終わって担当室長さんと費用と全般的なスケジュールについて説明を聞いて予約を進行し、少しドキドキして少し恐ろしい気持ちで手術日まで熱心に生業に従事しながら待ちました。 手術当日は予約された時間に訪問すると手術室の前で待機し、簡単に院長先生と相談後手術が進行されるのですが、睡眠麻酔で進行されるので寝て起きるとすべての状況が終わっています。その後からは家に帰って薬をしっかり飲んで、目薬(点眼薬)をしっかり入れて、湿布をしっかりすれば終わり!ただ手術後3日程度までは目やにもたくさん出て血も出ましたが洗えないので綿棒とガーゼで拭きながら過ごし、このような事項は手術後案内事項についての説明書をくださるのですが詳しく載っているのでその通りに従えば管理するのに大きな困難はないと思います。 私の場合は脂肪移植を一緒にしたからなのか腫れが引くのにかなり時間がかかりました。腫れが引いて日常生活に目立たなくなるまで2週間程度時間が必要で(1週間が過ぎて出勤した時みんな目を怪我したのかとてもむくんでいると気づかれました…(笑))、1ヶ月が過ぎた今は腫れは完全に引きました。その過程で疑問点が生じれば担当室長さんにメッセージで問い合わせし、親切に答えてくださったのでその点もとても良かったです。今は目の下で私の神経を逆撫でしていたぽっこりした脂肪は完全にお別れし、ボリューム感はおまけで得ました。 1ヶ月が過ぎた今思い返すと、オブジェで目の下脂肪再配置と脂肪移植をした決定は58000%程度満足しています。もし目の下脂肪再配置を悩んでいる方々の中で私のレビューをご覧になる方がいらっしゃるなら、悩まずに手術されることをお勧めします!!
クリニック情報
| 月 | 火 | 水 | 木 | 金 | 土 | 日 |
|---|---|---|---|---|---|---|
10:00 ~ 10:00 | 10:00 ~ 19:00 | 10:00 ~ 19:00 | 10:00 ~ 19:00 | 10:00 ~ 21:00 | 10:00 ~ 17:00 | お問い合わせ |
location_on
2nd floor, 5th floor, 5, Teheran-ro 4-gil, Gangnam-gu, Seoul, Republic of Korea
서울특별시 강남구 테헤란로4길 5 2층, 5층
目の形矯正の相談実績4,280件のクリニック