日本語 通訳対応
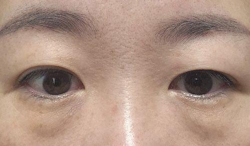
目の下 キラパンダ整形
4.944件の口コミ
45% off¥119,474
¥64,669
現地通貨を基準: ₩590,000 (VAT込み)
目の形矯正の口コミ49件!
詳細内容
ネイチャーオン、目、目の下、目の下脂肪、目の下脂肪再配置、二重、目つき矯正、目頭切開、目尻切開、たれ目切開、癒着
こんな方におすすめ
目の下のふくらみが気になる方/ 目の下のクマが気になる方
イベント期間
2025-12-29 ~ イベント終了まで
副作用の案内
個人差によって施術・手術後に出血や感染、腫れ、あざ、炎症などの一般的な副作用が生じる場合があります。
このページの情報は、クリニックが直接登録・運営しています。
口コミ
4.9(44)
クリニック情報
| 月 | 火 | 水 | 木 | 金 | 土 | 日 |
|---|---|---|---|---|---|---|
10:00 ~ 10:00 | 10:00 ~ 19:00 | 10:00 ~ 19:00 | 10:00 ~ 19:00 | 10:00 ~ 19:00 | 10:00 ~ 16:00 | 休診 |
6th floor NATURE ON Plastic Surgery, 117 Bongeunsa-ro, Gangnam-gu, Seoul, Republic of Korea
서울 강남구 봉은사로 117 6층 네이처온성형외과
目の形矯正の相談実績274件のクリニック




















