
language日本語 通訳対応
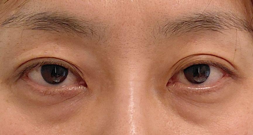
目の下 キラパンダ整形
kid_star4.963件の口コミ
45% off¥115,405
¥62,467
現地通貨を基準: ₩590,000 (VAT込み)
kid_star
目の形矯正の口コミ69件!
詳細内容
ネイチャーオン、目、目の下、目の下脂肪、目の下脂肪再配置、二重、目つき矯正、目頭切開、目尻切開、たれ目切開、癒着
こんな方におすすめ
目の下のふくらみが気になる方/ 目の下のクマが気になる方
イベント期間
2025-12-29 ~ イベント終了まで
副作用の案内
個人差によって施術・手術後に出血や感染、腫れ、あざ、炎症などの一般的な副作用が生じる場合があります。
このページの情報は、クリニックが直接登録・運営しています。
口コミ
kid_star4.9(63)
- kid_starkid_starkid_starkid_starkid_starverified_user実際の施術口コミ히힣이2026.03.06後
前
安いイベント価格の割に腕が良いという評判が多いクォン・チャンデ代表院長のおかげで、ここで手術することにしました。 今はちょうど手術から1ヶ月経った日です。 手術前も親切で丁寧にカウンセリングしてくださいました。 施術結果 ちょうど1ヶ月経った今は、洗顔する時に少し違和感がありますが、手術したことは周りにはあまりバレていません(笑) 彼氏は5歳くらい若くなったみたいだと言ってくれるんですが(笑) とりあえず目やにが結構続いて出るし、乾燥するので目薬(点眼薬)を継続して点しています。 でも、あまりひどくなかった方の涙袋部分に濃い横じわができてしまって、これが下の部分の残りむくみ?が引けば良くなるのか、もう少し様子を見ないといけないし、軽く笑う時に両側の涙袋の形と大きさが違うので...後でこれが揃うのかよく分からないです!来週1ヶ月経過を見る時に聞いてみるつもりです! - kid_starkid_starkid_starkid_starkid_starverified_user実際の施術口コミ여우dXiau2026.03.06後
前
炎症と腫れが多いタイプなので回復がちょっと遅いけど、今のところ満足してます!目の下のクマは確実に消えました。 - kid_starkid_starkid_starkid_starkid_starverified_user実際の施術口コミ배뚱끼2026.03.06後
前
ネイチャーオン美容外科でクォン・チャンデ代表院長先生に目の下脂肪再配置手術を受けましたが、本当に満足しています。 カウンセリングから手術まで丁寧に説明してくださって信頼できました。目の下が明るくなって疲れて見えていた印象がとても良くなりました。腫れも思ったより早く引いて日常生活への復帰も楽でした。 目の下脂肪でお悩みの方にはネイチャーオン美容外科のクォン・チャンデ代表院長先生をおすすめします。 - kid_starkid_starkid_starkid_starkid_starverified_user実際の施術口コミ여우fPRMY2026.03.06後
前
全身麻酔で手術時間も長くありませんでした。 - kid_starkid_starkid_starkid_starkid_starverified_user実際の施術口コミakanoka2026.03.06後
前
1ヶ月経ったらかなり自然になった。 - kid_starkid_starkid_starkid_starkid_starverified_user実際の施術口コミ냥이0LnCm2026.03.05後
前
手術後、鏡を見るたびに自然に馴染んだ様子が気に入っていて、印象がずっとすっきりしたという話を聞いて本当に満足しています。 先生の丁寧な技術のおかげでダウンタイムも順調で、日常生活に戻るのに大きな困難がなくて良かったと思います。 病院のサービスから結果まで全体的に期待以上なので周りにも気軽に推薦できそうで、星は当然満点です。 - kid_starkid_starkid_starkid_starkid_starverified_user実際の施術口コミ토끼phwwf2026.03.05後
前
二重とタレ目形成の手術をした。 - kid_starkid_starkid_starkid_starkid_starverified_user実際の施術口コミ여우ILyn92026.03.05後
前
普段目の下の脂肪のせいで疲れて見えるとよく言われて悩んでいたところ、ネイチャーオン美容外科のクォン・チャンデ代表院長先生にカウンセリングを受けて、目の下脂肪再配置と二重目つき矯正を行いました。 現在手術から2週間経ちましたが、最初より腫れがかなり引いて目の下がずっと整った感じです。以前は目の下がぷっくりしていて疲れて見えたのですが、今は一段とすっきり見えて印象が明るくなったと思います。 二重目つき矯正も過度に目立つ感じではなく、自然にはっきりした感じなので満足しています。目を開く力も前より良くなったようで、全体的な目つきが整った感じです。 今回イベント価格で進行して、追加料金なしで案内された費用そのままで手術できたので負担も少なかったです。カウンセリングも丁寧にしてくださって楽に決断できました。 まだ2週間なのでもっと自然になると思うので経過を見守っていますが、現在までは満足しています。目の下脂肪再配置や二重目つき矯正で悩んでいる方にネイチャーオン美容外科のクォン・チャンデ代表院長のカウンセリングをおすすめしたいです。 - kid_starkid_starkid_starkid_starkid_starverified_user実際の施術口コミ갱쥐CZXGg2026.03.05後
前
目の下のぷっくり出てるのがいつも気になってたんだけど、手術当日からガラッと変わってびっくりしたし、私は実は目がめちゃくちゃ腫れたらどうしようって心配してたんだけど、翌日、その翌日まで少し腫れて、その後は日常生活に支障なかったし、周りの人たちも言う前は分からなかったみたい。私は幸い内出血も少し黄色っぽいのがあっただけで終わった。まだ完全に全部落ち着いたわけじゃないと思うけど、今までの経験で私はすごく満足してる。 - kid_starkid_starkid_starkid_starkid_starverified_user実際の施術口コミmatcha52026.03.04後
前
40代に入ってから表情がとても疲れて見えるようになり、悩んだ末に手術を決意しました。 実は肌のハリがなくなっていて、病院では下瞼手術を勧められましたが、長い回復期間が負担で、まずは脂肪再配置だけを行いました。手術後1ヶ月が経った現在、残りのむくみも完全に引いて、目元がとても平らで滑らかに落ち着きました。最も心配していた不自然な感じもなく、必要な部分だけが改善されて、表情がずっと明るく生き生きして見えます。周りからも顔色が良くなったとか若く見えるという言葉をよく聞くので、満足度がとても高いです。 年齢を重ねてたるみがひどくなったら、その時は下瞼も検討しなければなりませんが、今の結果だけでも十分にすっきりしています。40代男性として目立たず自然な変化を望む方には、これ以上ない選択だったと思います。
目の形矯正の相談実績335件のクリニック