kid_starkid_starkid_starkid_starkid_star
verified_user実際の施術口コミ
쿼카zuD6V2026.02.13
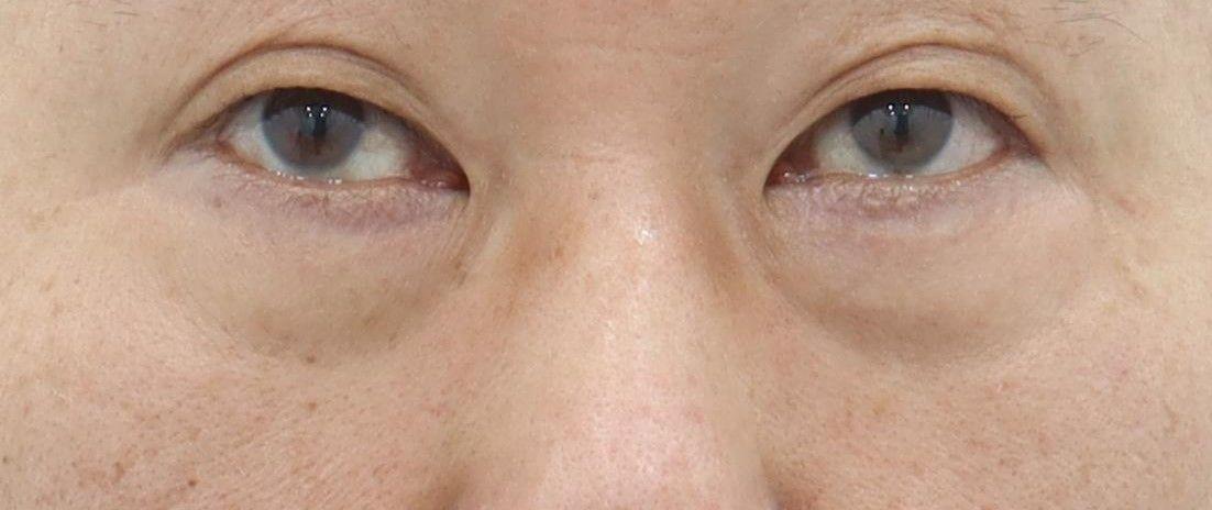
後
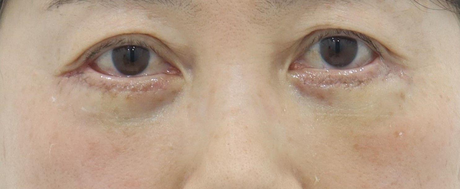
前
30代中後半を走っている中で、ふとふと鏡を見ると目の下がすごく疲れて見えました!化粧しないと本当にみんなが最近しんどいのかって聞くほどでした(泣)それが目の下の皮膚がハリを失って脂肪が突出して垂れ下がったものだったんです。でこぼこした目の下がずっと気になって、もう我慢できなくて手術を決心しました。
ソウル童顔医院が二重顎脂肪吸引で有名なのは知っていて、それで二重顎手術も一緒にするついでに目の下の悩みも相談を受けました。イム・ギョンス院長先生が目の下脂肪再配置を勧めてくださって、同じ日に二つの手術を全て受けました。
ソウル童顔医院を選んだ理由は、まずイム・ギョンス院長先生への信頼が大きくて、私の知人がここで手術を受けたんですが結果がとても良かったんです。それで価格さえ合えば目の下脂肪再配置もここでしようと思いました。でもちょうどイベント中でもあったし、価格も他の病院より安かったです。
手術してから痛みがほとんどありませんでした。もちろんぎゅっと押すと打撲したようなうずく痛みはあるんですが、わざわざ触りませんでした(笑)
そして内出血も私は少し黄色っぽい-黄緑色程度に軽く出たんですが、化粧で隠せる程度だったので大丈夫でしたし、腫れは少しありましたが、どうせぽっかり窪んだ目の下が悩みだったので、腫れがあるのも悪くありませんでした!
手術後変化した様子は、まず目の下が滑らかになって、確実により整って清潔な印象になったと思います!!
写真はまだ腫れがある状態なんですが、この状態でもとても満足です(笑)
イム・ギョンス院長先生とスタッフの皆さんに全て感謝いたします:)