
language日本語 通訳対応
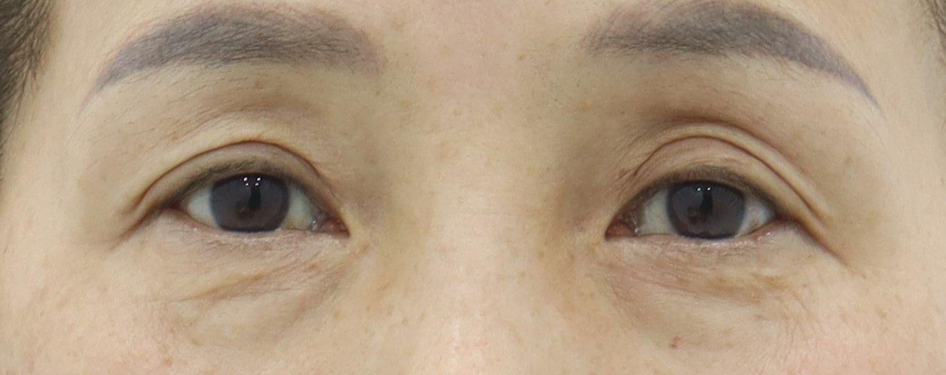
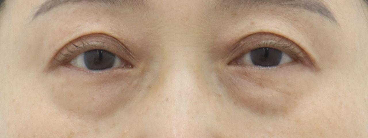
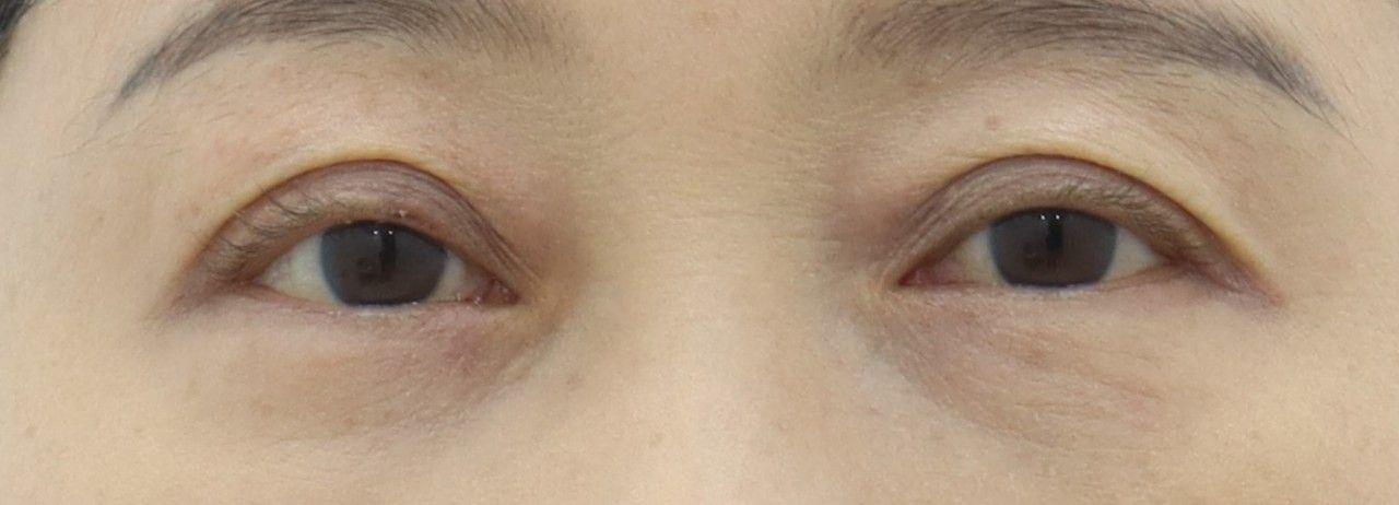
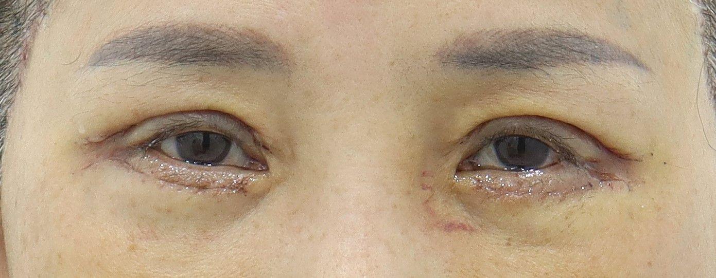
下眼瞼、目の下脂肪再配置
kid_star59件の口コミ
49% off¥161,990
¥82,583
現地通貨を基準: ₩780,000 (VAT込み)
kid_star
目の形矯正の口コミ13件!
詳細内容
追加費用なし、代表院長が直接執刀 ! たるんで膨らんだ目の下を、スッキリ滑らかに
こんな方におすすめ
下眼瞼や目の下の脂肪再配置をご希望の方
イベント期間
2026-01-09 ~ イベント終了まで
副作用の案内
施術後、予期せぬ炎症、出血、感染などの副作用が発生する可能性があるため、注意が必要です。
このページの情報は、クリニックが直接登録・運営しています。
口コミ
kid_star5(9)
- kid_starkid_starkid_starkid_starkid_starverified_user実際の施術口コミ갱쥐fNnNW2026.03.03後
前
手術が終わって痛みがなくて驚いたし、連休が長くて8日目に抜糸したけど、ちょっとピリピリする以外は完璧です。 - kid_starkid_starkid_starkid_starkid_starverified_user実際の施術口コミyongzin2026.02.27後
前
手術うまくいったし、腫れが引けばだんだん良くなりそう。 - kid_starkid_starkid_starkid_starkid_starverified_user実際の施術口コミ갱쥐C0t0q2026.02.25後
前
下瞼手術と脂肪再配置を決めた後、追加で頬骨フィラーと頬の脂肪吸引1ccなどを行ってから手術と施術をしましたが、すべての過程が信頼感を持って進められたので不安感が少なく、ダウンタイムも順調でここでやって良かったと思います。 - kid_starkid_starkid_starkid_starkid_starverified_user実際の施術口コミ쿼카zuD6V2026.02.13後
前
30代中後半を走っている中で、ふとふと鏡を見ると目の下がすごく疲れて見えました!化粧しないと本当にみんなが最近しんどいのかって聞くほどでした(泣)それが目の下の皮膚がハリを失って脂肪が突出して垂れ下がったものだったんです。でこぼこした目の下がずっと気になって、もう我慢できなくて手術を決心しました。 ソウル童顔医院が二重顎脂肪吸引で有名なのは知っていて、それで二重顎手術も一緒にするついでに目の下の悩みも相談を受けました。イム・ギョンス院長先生が目の下脂肪再配置を勧めてくださって、同じ日に二つの手術を全て受けました。 ソウル童顔医院を選んだ理由は、まずイム・ギョンス院長先生への信頼が大きくて、私の知人がここで手術を受けたんですが結果がとても良かったんです。それで価格さえ合えば目の下脂肪再配置もここでしようと思いました。でもちょうどイベント中でもあったし、価格も他の病院より安かったです。 手術してから痛みがほとんどありませんでした。もちろんぎゅっと押すと打撲したようなうずく痛みはあるんですが、わざわざ触りませんでした(笑) そして内出血も私は少し黄色っぽい-黄緑色程度に軽く出たんですが、化粧で隠せる程度だったので大丈夫でしたし、腫れは少しありましたが、どうせぽっかり窪んだ目の下が悩みだったので、腫れがあるのも悪くありませんでした! 手術後変化した様子は、まず目の下が滑らかになって、確実により整って清潔な印象になったと思います!! 写真はまだ腫れがある状態なんですが、この状態でもとても満足です(笑) イム・ギョンス院長先生とスタッフの皆さんに全て感謝いたします:) - kid_starkid_starkid_starkid_starkid_starverified_user実際の施術口コミ토끼gwtcW2026.02.12後
前
やっとレビューを書きますね(笑)(泣) 目の下のくぼみがひどすぎて、写真を撮る時にアプリで撮ってもくぼみ部分がすごく目立ってストレスだったんですが、手術後にかなり改善されました!非切開だったので別途抜糸しなくても良いという点がメリットでした。 何より写真を撮る時のストレスが減って良いですね(笑) 構造上の問題なので完全になくなった!というわけではないんですが、昔の写真を見るともっと早くやれば良かったなって思います(泣)(笑) 脂肪再配置と脂肪吸引を専門的にやっているところなのでまず信頼できるし、私と同じような悩みがある方はまず相談から受けてみることをおすすめします!完全にガチガチ正直レビューでした。 - kid_starkid_starkid_starkid_starkid_starverified_user実際の施術口コミ냥이5ByrI2026.02.03後
前
目の下のたるみのせいで、友達と会ったり写真を撮ったりする時に見える自分の姿がとても嫌でした。 院長先生がおすすめしてくださった手術を受けて、悩みだった部分について大きく改善されました。 院長先生の手術経歴を見て安心して手術を受けることができました。 - kid_starkid_starkid_starkid_starkid_starverified_user実際の施術口コミ여우CLIbh2025.12.30後
前
目の下がとても悩みの種だったのですが、この病院が一番信頼できそうで選ぶことになりました。 カウンセリングの時に二つの手術を一緒に行った場合のメリット・デメリットとダウンタイムまで詳しく説明してくださったので、決断するのに役立ちました。無理な勧誘もなく私の状態に合わせて案内してくださったので信頼できました。 現在7日目ですが腫れとあざがかなり引いて、目の下がずっとすっきりしました。 - kid_starkid_starkid_starkid_starkid_starverified_user実際の施術口コミ토끼TZGzq2025.12.27後
前
目の下の脂肪がぽっこりと飛び出して、いつも疲れて見えて老けて見えるのが大きなストレスでした。メイクでも隠れない目の下の影のせいで、確実な改善が切実でした。 院長先生が私の目の状態を丁寧に診断してくださり、施術の原理と必要な理由を無駄なく説明してくださったので信頼できました。過度な勧誘もなく、必要な部分だけをピンポイントで指摘してくださったので、すぐに決断しました。 ぽっこりしていた脂肪がすっきりと整理されて、目の下がとても明るくなりました。周りから印象がずっと明るく見えて生き生きしたと言われることが多くて、鏡を見るたびに幸せです。 少しの腫れの期間さえ我慢すれば印象がすっきりする効果が確実なので、満足度が本当に高いです。疲れて見える目の下で悩んでいるなら積極的におすすめしたいです。 - kid_starkid_starkid_starkid_starkid_starverified_user実際の施術口コミ여우KK7Gb2025.12.16後
前
目の下がたるんでクマがより濃く見えて、実際よりもいつも疲れて見える印象が悩みでした。写真を撮る時は特に気になっていました。 カウンセリング体験 私の目の状態を丁寧に見てくださって、必要な部分とそうでない部分を明確に説明してくださったので信頼できました。全体的にカウンセリングが落ち着いていて負担がありませんでした。 目の下が整理されて影がかなり薄くなって、印象が一段と明るくなりました。やりすぎた感じがなく自然に変化した点が一番満足しています。 ダウンタイムも比較的楽で、周りからも印象が良くなったと言われて満足度が高いです。
目の形矯正の相談実績27件のクリニック