
language日本語 通訳対応
上眼瞼、下眼瞼、 眉下切開
kid_star4.817件の口コミ
¥142,349
現地通貨を基準: ₩1,320,000 (VAT込み)
kid_star
目の形矯正の口コミ77件!
詳細内容
ピョ・スンボム院長, ヤン・ジュニョン院長による 中年目整形,お母さん,お父さんの目元に若さを!
こんな方におすすめ
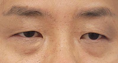
目の下の脂肪がポコッと出て老けて見える場合
イベント期間
2026-02-24 ~ イベント終了まで
副作用の案内
患者個人の体質によって痣、腫れ、発熱、炎症などの副作用が発生することがあります。
このページの情報は、クリニックが直接登録・運営しています。
口コミ
kid_star4.8(17)
- kid_starkid_starkid_starkid_starkid_starverified_user実際の施術口コミ콩콩이야야2026.02.14後
前
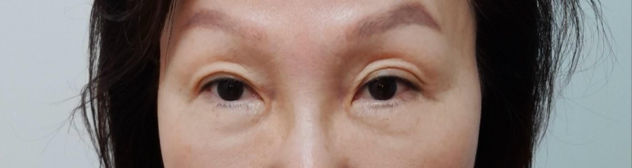
50代後半になると目の下がぷっくりして下がくぼんで、いつも疲れて見えました。 最初は近くの病院数カ所で相談しましたが、過剰診療がひどくて見積もりだけで600万ウォンも出て、とても悩みました。 結局、中年手術専門病院らしく私の目の状態を丁寧に診てくれるピョ・スンボム院長先生に相談を受け、相談から手術まで直接進めてくださったので信頼して決めました。 手術当日、着替えて麻酔をかけられてからは全く記憶がなく、痛みは全然感じませんでした。 回復後すぐに処方薬を服用し、2週間の間手術部位の軟膏と目薬(点眼薬)をしっかり使用しました。 腫れはひどくありませんでしたが、あざは約2週間まで残って抜糸してあざクリームまで塗りました。 手術後、顔が目元のせいで重苦しくて疲れて見えていた姿から、 目の下が滑らかになってたるんでいた目がはっきりして印象が一段と明るくなりました。 周りの人たちも「よくやった」「イメージがとても良くなった」と言ってくれて気分が良かったし、 正直もっと早くやっておけばよかったという気持ちになりました。 - kid_starkid_starkid_starkid_starkid_starverified_user実際の施術口コミ쿼카ekp4M2025.12.18後
前
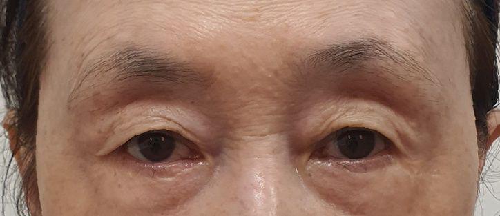
1ヶ月経った今、目の下のシワがかなりなくなって、肌のハリも良く見えます! - kid_starkid_starkid_starkid_starkid_starverified_user実際の施術口コミ쿼카ekp4M2025.12.08後
前
手術前、手術後ともに丁寧にカウンセリングしてくださいました! - kid_starkid_starkid_starkid_starkid_starverified_user実際の施術口コミ우우우유나누너2025.11.07後
前
手術後、周りから若くなったって言われて気分がいいです。よく治ってるし、不快感もありません。 - kid_starkid_starkid_starkid_starkid_starverified_user実際の施術口コミ우우우유나누너2025.10.05後
前
手術前のカウンセリングからとても親切で良くしてくださったので、一度で決めて来たのですが、手術も丁寧にしてくださって親切でした! - kid_starkid_starkid_starkid_starkid_starverified_user実際の施術口コミ냥이dy84A2024.04.20後
前
施術後1ヶ月がいつの間にか経ちましたが、内出血もいつの間にか消えて、娘たちが綺麗になって若くなったと言ってくれます^^ ジャスト美容外科のピョ・スンボム院長先生のおかげで、施術が希望通りになったようで、鏡を見るたびに満足しています。 ホン室長さんも質問に親切に対応してくださって感謝でした〜 - kid_starkid_starkid_starkid_starkid_star냥이dy84A2024.03.16後
うちの母が上瞼と眉毛挙上術のどちらにするか悩んでいたのですが、ジャスト美容外科のピョ・スンボム院長先生が確信を持てるように丁寧にカウンセリングしてくださったそうです。 印象がきつく見えないようにしたいなどのニーズもしっかりと汲み取ってくださいました。 そしてついに一昨日、ジャスト美容外科で眉毛挙上術の手術を受けました。 レビュー通り病院のスタッフの皆さんがとても親切で、 ホン室長さん、特にピョ・スンボム院長先生が優しくて 安心して手術を受けることができたと言っています。 手術翌日なので目に腫れがありますが、時間が経てば良くなると思います〜 母のアフターの姿が楽しみですね^^ - kid_starkid_starkid_starkid_starkid_star여우MWjf02024.02.13後
前
瞼の下垂で運動するたびに辛く、普段も疲れた印象だったので施術を調べていたところ、ジャスト美容外科とご縁があり実行に移すことになりました。 親切で信頼できるカウンセリングで決定し、イベント中だったので金銭的にも良かったです。 私が希望する時間と日程で予約が取れ、手術当日も快適な雰囲気で手術が進行されました。眉毛挙上術と二重は半睡眠状態でピョ・スンボム院長が丁寧に確認しながら進めてくださいました。 痛くないか心配していましたが、手術時も麻酔が切れた後も腫れによる不快感はありますが、痛みは全くありませんでした。現代医学と韓国の美容整形の発展に改めて感嘆しました。 早く腫れが引いた顔を見ることができることを期待しています。 - kid_starkid_starkid_starkid_starkid_starjiiigi2024.01.05後
前
母が目の下垂がひどくなって涙も出るし不便を感じるようになり、いろいろなところを調べてジャストのピョ・スンボム院長先生に手術を受けました。 周りで上瞼や挙上手術をした方の中で印象がすごく変わって怖くなった方が多くて手術を怖がっていたのですが、ピョ・スンボム院長先生は眉毛下挙上で手術後の回復も早く、印象もむしろもっと良くなったほど、見開いた感じや不自然な感じが全くなくとても上手にやってくださいました。 手術後の腫れもほとんどなく、1ヶ月経ったらとても自然で目が下がる前の昔の姿に戻ったみたいだととても満足して喜んでいます。母の手術をとても上手にやってくださったので、母の周りの方々も手術を決心したほどです(笑) 10年ではなく20年は若返ったみたいです。 そして相談室長さんもとても親切で正直に相談をよくしてくださったし、ピョ院長先生は理解しやすく説明もとても上手にしてくださって、母が初めての手術だったのでとても緊張していたのですが、安心してできるよう相談から手術まで完璧にやってくださってとても感謝でした〜 母がとてもとても満足して喜んでいるので私も気分が良いです。 - kid_starkid_starkid_starkid_starkid_star출발하는중2023.12.16後
前
普段からお母さんは目の下の脂肪とシワが悩みでした。 カウンセリング中、医師が脂肪再配置と下瞼の違いをよく説明してくれて、おすすめの手術を教えてくれました。 まだ目が腫れていますが、腫れが引いた姿が楽しみです!
目の形矯正の相談実績273件のクリニック